Rehabilitación Oral
Recupera tu sonrisa, tu funcionalidad y tu confianza.
En Clínica Dental Sanaden transformamos sonrisas a través de la Rehabilitación Oral, una especialidad diseñada para devolver estética, función y salud a tu boca cuando existen dientes ausentes, desgastados, dañados o problemas en la mordida.
Nuestro enfoque combina diagnóstico digital, tecnología avanzada y planificaciones personalizadas, logrando resultados naturales, duraderos y completamente adaptados a tu rostro.


Problemas que solucionamos
Dientes desgastados, fracturados o con grandes caries
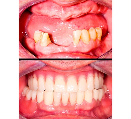
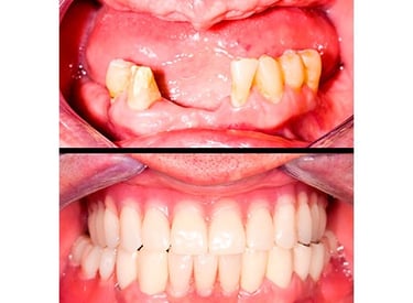
Ausencia de uno o varios dientes
Prótesis antiguas que se ven artificiales
Mordida inestable o dificultad al masticar
Cambios en la forma del rostro por pérdida dental
Sensibilidad o dolor al morder
¿Qué es la Rehabilitación Oral?
Es un tratamiento integral que evalúa toda la boca para devolver la correcta función masticatoria, la armonía estética y la salud de tus dientes y encías.
Incluye procedimientos restauradores, estéticos y funcionales que permiten reconstruir desde un diente hasta toda la sonrisa..
Tratamientos de Rehabilitación Oral disponibles
Coronas de porcelana o zirconio


Reemplazan la estructura dañada de un diente recuperando estética y resistencia.




Puentes dentales
Alternativa fija para reemplazar uno o varios dientes perdidos.
Diseñadas para máxima comodidad, estética y ajuste.
Prótesis fijas y removibles de última generación
Rehabilitación sobre implantes


Solución segura y definitiva para recuperar piezas perdidas.




Carillas y restauraciones estéticas
Corrigen forma, color y textura para rejuvenecer la sonrisa.
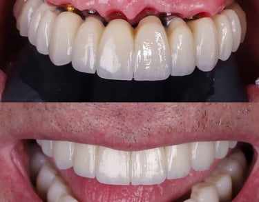
Ideal cuando se requiere reconstruir toda la boca por desgaste severo, bruxismo o pérdida múltiple.
Rehabilitación completa (Full Mouth)
¿Para quién es ideal este tratamiento?
Para personas que desean recuperar dientes perdidos, restaurar piezas debilitadas, mejorar su estética y obtener una sonrisa funcional y saludable.
Tecnología que utilizamos
Escáner intraoral 3D (sin moldes molestos)
Diseño digital de sonrisa (DSD)
Pruebas estéticas previas (mock-up)
Laboratorio de alta precisión


Beneficios de realizar tu Rehabilitación Oral en Sanaden
Sonrisa más estética, natural y armónica
Recuperación de la función masticatoria
Mejora en la pronunciación
Reducción del dolor o molestias al morder
Rejuvenecimiento facial
Resultados duraderos y personalizados
Atención especializada y tecnología digital


En Clínica Dental Sanaden somos especialistas en Rehabilitación Oral, un tratamiento integral que restaura dientes dañados o perdidos mediante coronas, puentes, prótesis e implantes dentales. Utilizamos escaneo digital, diseño de sonrisa y materiales de alta resistencia para lograr resultados naturales, estéticos y funcionales. Recupera tu salud bucal, tu sonrisa y tu calidad de vida con una atención personalizada y tecnología de última generación.
Contacto
Estamos aquí para cuidar tu sonrisa
® Clínica dental Sanaden| RUC 20609591081 | © 2026. All rights reserved.
